In primo piano
Ultime novità
 
                    Il cerambice alpino è tornato in Alto Adige
Popolazione stabile del raro coleottero nei boschi di Caldaro
 
                    Tumore seno, farmaco aumenta sopravvivenza senza peggioramento
-62% rischio progressione o morte in pazienti con mutazione Esr1
 
                    Nuovo vaccino anti-cancro contro più forme di tumore
A base di nanoparticelle. Dati positivi dai test sui topi
 
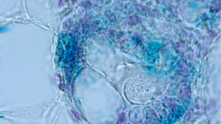
                    Cellule, spore e insetti nelle 20 migliori foto del 'micromondo'
Premiate dal concorso fotografico Nikon Small World 2025
 
                    Catturata la prima immagine di una coppia di buchi neri
Orbitano uno attorno all'altro con una periodicità di 12 anni
 
                    Le foreste tropicali australiane sono diventate fonti di CO2
È una risposta al cambiamento climatico
 
                    Scoperto il ghiaccio che congela a temperatura ambiente
Si forma in condizioni di pressione estrema
 
                    Meno di 4 ore per sequenziare il genoma umano, è record
Utile per cure più tempestive e mirate
 
                    Jim Modarelli, il tocco lucano dietro il logo della Nasa
Ideatore ha origini di Colobraro, la storia in un libro
 
                    Maker Faire, 45mila visitatori per la fiera dell'innovazione
Tagliaventi: "Un manifesto vivente di umanesimo tecnologico"
 
                    Ideare sito Einstein Telescope a Lula, contest Ateneo Cagliari
Si cercano progetti per disegnare centri ricerca e divulgazione
 
                    Produzione di farmaci più sostenibile grazie alla luce
Possibile una chimica più verde senza uso di sostanze tossiche
 
                    Cammelli incisi sulla roccia segnalavano l'acqua nel deserto
Scoperti in Arabia Saudita, risalgono a 12.000 anni fa
 
                    Nanoparticelle hanno fatto regredire l'Alzheimer nei topi
Resettano il sistema vascolare
 
                    Scoperto un parassita capace di alterare gli ecosistemi marini
Piccolo crostaceo,scoperta arriva dalla Stazione Zoologica Dohrn
 
                    Tracciati i confini del fenomeno più misterioso della fisica
Da un algoritmo anti-rumore nuovi dati sul neutrino di Majorana
 
                    Alzheimer, 3 milioni di euro per rivoluzionare diagnosi precoce
Finanziamento del Mur per il progetto di Iit e D-Tails di Roma
 
                    Il bagliore della Via Lattea possibile spia della materia oscura
Lo indicano le simulazioni al supercomputer
 
                    La ricerca italiana entra nel programma spaziale delle Maldive
Vectoring Space, team padovano supportato da Zoppas Industries
 
                    Ali e bozzoli cosmici svelati attorno ai flash di raggi X
Fanno luce su cosa avviene nelle stelle dopo la loro morte
 
                    UniBa e Regione Puglia mapperanno il Parrocchetto monaco
L'obiettivo è limitare i danni della specie aliena invasiva
 
                    Cellule pelle riprogrammate in ovociti,nuove terapie infertilità
Risultato ricercatori della Oregon Health Science University
 
                    Da studio l'intreccio fra pipistrelli, allevamenti suini e virus
Analisi Istituto Zooprofilattico Sperimentale delle Venezie
 
                    Biomateriali smart e staminali rigenerano le articolazioni
Primi test di Istituto Ortopedico Rizzoli e Scuola Sant'Anna
 
                    Api selvatiche minacciate in Europa, aggiornata la Lista Rossa
Stimato un calo delle popolazioni del 56% in un decennio
 
                    Così il cervello trasforma le emozioni in azioni
Studio, alla base una via a doppio senso tra due aree diverse
 
                    Gli alberi dell'Amazzonia sono diventati più grandi
A causa dell'aumento di CO2, +3,2% ogni 10 anni
 
                    Lo storione dell'Adriatico torna a popolare i fiumi italiani
È un fossile vivente, reintrodotti 4.900 esemplari in 10 anni
 
                    Verso cibi ibridi, mix di proteine coltivate, insetti e piante
Per sostituire la carne mantenendo nutrimento e gusto
 
                    Dall'inclusività alla chiralità, con il Cnr alla Maker Faire
Tante iniziative in programma, a Roma del 17 al 19 ottobre
 
                    Iene nella città fantasma,è il Wildlife Photographer of the Year
Mentre l'italiano Andrea Dominizi vince nella categoria giovani
 
                    Uomo paralizzato riabbraccia le figlie dopo intervento Neuralink
Controlla movimenti braccio robotico con impianto nel cervello
 
                            